Киста головного мозга – довольно опасный для человека диагноз, после установления которого необходимо строго соблюдать все предписания и рекомендации лечащего врача. Если заболевание было выявлено на ранних стадиях и пациент выполняет все указания, то в большинстве случаев удается предотвратить проявление нежелательных осложнений. Кистообразная опухоль может находиться в любом месте черепной коробки: именно от этого в большей мере и зависят развитие патологии и особенности лечения.
Что это такое?
Киста в головном мозге – это объемное доброкачественное образование внутри черепной коробки, которое имеет вид полости, заполненной жидкостью. Нередко оно имеет скрытое субклиническое течение, не сопровождающееся постепенным увеличением габаритов. В основном подозрение на появление кисты внутри головы возникает, если человек страдает эпилептическими пароксизмами либо внутричерепной гипертензией. Одной из особенностей данного заболевания головного мозга является то, что у значительной доли пациентов проявляются симптомы, соответствующие очагу образования кисты – это означает, что для диагностики достаточно всего лишь КТ и МРТ, а также нейросонографии для обследования новорожденного младенца или уже подросшего ребенка.
Многие современные нейрохирурги утверждают, что при правильном подходе к лечению локальное скопление жидкости во внутримозговом веществе либо оболочках не представляет слишком большой опасности ни для взрослого пациента, ни для ребенка.
Маленькие по размеру образования обычно отличаются субклиническим течением и поэтому их выявляют совершенно случайно путем нейровизуализирующего обследования головы. Если же киста имеет достаточно большие объемы, то из-за ограниченного интракраниального пространства она может стать причиной развития внутричерепной гипертензии, впоследствии чего произойдет сильное сдавливание соседних мозговых структур.
Клинически значимые размеры этого доброкачественного образования значительно варьируются и зависят от места его возникновения, а также компенсаторных возможностей кисты. Например, у маленького ребенка черепные кости более податливые, за счет чего латентное течение заболевания на протяжении долгого времени не сопровождается выраженной ликворной гипертензией.
Диагностировать образование можно в самые разные периоды человеческой жизни: начиная с рождения и заканчивая пожилым возрастом. Одна из специфических особенностей болезни заключается в том, что даже врожденная киста в голове у взрослого пациента чаще всего обнаруживается после достижения им 30-50-летнего возраста, а не в младенчестве.
Классификация
Кисты, которые образуются внутри оболочек головного мозга, разделяют на несколько видов по месту их локализации:
- Арахноидальные – это заполненные жидкостью пазухи, возникающие между двумя соседними мозговыми оболочками;
- Внутримозговые – доброкачественные опухоли, месторасположением которых является толща тканей левого или правого полушария головного мозга.
Кроме того, специалисты классифицируют кисты и по происхождению:
- Врожденные – следствие значительного нарушения внутриутробного развития плода. Также распространенной причиной болезни в данном случае может стать гибель большей части тканей мозга из-за внутриродовой асфиксии;
- Приобретенные – этот вид кисты развивается, как правило, вследствие получения различных травм головы, сильных кровотечений либо воспалительных процессов, имеющих разную природу.
Еще одна классификация основана на особенностях тканей, из которых была сформирована обнаруженная киста:
- Арахноидальная – киста, напоминающая небольшое сферическое образование, внутри которого находится спинномозговая жидкость. Следует отметить, что женщины страдают от нее гораздо реже, чем мужчины. Если опухоль не увеличивается со временем, то врачи не проводят пациенту оперативное вмешательство: осуществляется только регулярное наблюдение с целью выявления возможных изменений. В противном случае нельзя пренебрегать хирургическим методом удаления образования.
- Киста коллоидального типа – она представляет собой доброкачественное образование, развитие которого начинается еще при формировании центральной нервной системы (ЦНС). Обычно заболевание протекает без каких-либо симптомов до той поры, пока не достигнет критических параметров. После этого начинается блок оттока жидкости, которая проходит через головной мозг, и зачастую развивается гидроцефалия. В таких условиях назначается срочная операция, чтобы убрать опасную опухоль.
- Дермоидальную кисту еще нередко называют дермоидом – это аномалия развития человеческого головного мозга, при котором зародышевые клетки, предназначающиеся для формирования тканей лобной, височной и других частей фронтальной стороны лица, продолжают оставаться между спинным и головным мозгом. Тут поможет только хирургия.
- Эпидермоидная (эпидермоид) – разновидность кисты, характерной особенностью которой является формирование из зародышевых клеток, требующихся человеку для развития кожи, ногтей и волос. Избавиться от нее с помощью медикаментозных средств невозможно, необходим лишь хирургический способ устранения этого сплетения;
- Пинеальная киста – шишковидное тело, которое может иметь разные размеры. Ее диагностируют примерно у 1-4% пациентов. Характерным симптомом заболевания является возникновение достаточно сильной головной боли в случае поднятия глаз кверху, но у большинства людей киста не вызывает дискомфорта.
Причины возникновения
К факторам, которые оказывают влияние на появление врожденной кисты головного мозга, относятся практически все неблагоприятные воздействия на плод в антенатальный период беременности. Наиболее распространенными причинам развития болезни называют следующие:
- Проникновение в кровь плода различных внутриутробных инфекций;
- Фетоплацентарная недостаточность;
- Если женщина в период вынашивания ребенка принимала лекарственные препараты, которые оказывают тератогенное действие;
- Резус-конфликт;
- Гипоксия плода;
- Травма во время родов;
- Если внутриутробное развитие ребенка происходило в условиях отравления наркотическими средствами, никотином либо спиртными напитками;
- Если у будущей матери диагностировали хроническую декомпенсированную болезнь.
Киста приобретенного типа имеет другие причины развития:
- Получение черепно-мозговой травмы в любом возрасте;
- Нанесение достаточно сильного удара в затылочную и теменную область;
- Перенесение разных заболеваний воспалительной этиологии, к которым относятся арахноидит, энцефалит, менингит, а также абсцесс головного мозга;
- Ряд острых нарушений внутримозговой циркуляции крови, наступающих после приступа геморрагического либо ишемического инсульта, церебрального паралича тела, субарахноидального кровоизлияния в мозг;
- Постинсультное осложнение;
- Лакунарный инсульт и инфаркт мозга;
- Субэпидермальная ишемия;
- Постгеморрагическое осложнение.
Нередко приобретенная опухоль имеет паразитарное происхождение (при парагоминозе, эхинококкозе, церебральном тениозе).
Врачи выделяют тип образования с ятрогенным происхождением. Фактором, вызывающим его, называют послеоперационные осложнения. Кроме того, в голове могут протекать дегенеративные либо дистрофические процессы, провоцирующие замещение кистой церебральных тканей.
Дополнительно медики выделяют ряд факторов, которые «заставляют» доброкачественное кистозное образование постоянно расти, приводя к серьезным осложнениям:
- Различные нейроинфекции;
- Всевозможные травмы головы разной степени тяжести;
- Протекание воспалительных процессов внутри черепной коробки, вне зависимости от их природы;
- Развитие гидроцефалии;
- Сосудистые нарушения, включая инсульт и ухудшение венозного оттока из черепной полости.
Симптомы заболевания
Киста головного мозга зачастую имеет следующие симптомы:
- Часто повторяющиеся и продолжительные приступы головной боли;
- Регулярные головокружения;
- Внутри черепной коробки ощущается сильная пульсация в левом и правом полушарии, которая практически всегда мучает пациента;
- Мешает полноценно жить чувство давления, а также распирания в голове;
- Заметное ухудшение координации движений всех частей тела;
- Нарушение слуха и появление постороннего шума в ушах;
- Ухудшение зрения, которое может проявляться размытостью объектов и их раздвоением;
- Возникновение галлюцинаций;
- Значительное снижение уровня чувствительности поверхности кожных покровов;
- Паралич;
- Парез верхних и нижних конечностей;
- Развитие рассеянного склероза;
- Базальный пневмосклероз;
- Аневризма кровеносных сосудов;
- Довольно частые эпилептические припадки;
- Выраженный тремор верхних и нижних конечностей;
- Частые потери сознания;
- Приступы тошноты, обычно сопровождающиеся рвотой;
- Отсутствие полноценного сна.
Специалисты утверждают, что если опухоль обладает клинически незначимыми параметрами, то в большинстве случаев полностью отсутствуют какие-либо из множественных признаков заболевания. Однако при достижении полостью крупных объемов за короткий промежуток времени проявляется характерная клиническая картина, особенности которой определяются локализацией опухоли, силой сдавливания окружающих ее тканей и степенью ухудшения оттока церебральной мозговой жидкости.
Особенности диагностики
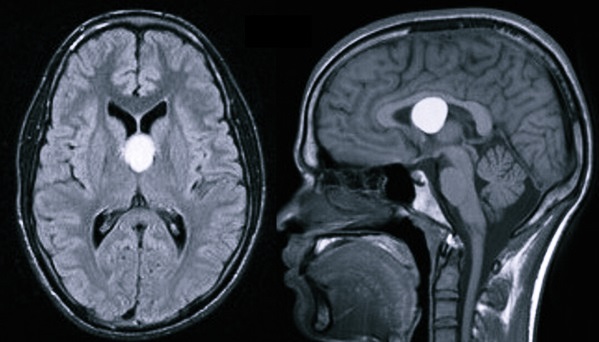
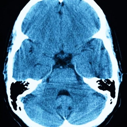
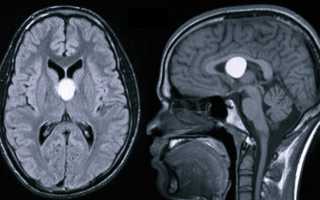
На сегодняшний день основными методами диагностики и последующего прогноза данной болезни являются МРТ (магнитно-резонансная томография) и КТ. Полученная томограмма показывает состояние всех составляющих мозга (эпифиза, мозжечка, гипофиза, нервных ганглий и других частей). С ее помощью можно увидеть место расположения перивентрикулярного глиозного очага и атрофических рубцовых следов внутри головного мозга без вскрытия черепной коробки, оценить их форму, размеры и интраселлярный рост.
Кроме того, данные способы обследования позволяют сделать дифференциальную диагностику промежуточного состояния между доброкачественной кистой и злокачественной опухолью. После внутривенного введения специального контрастного вещества его продукт накапливается в опухолевых тканях, а киста при этом не становится контрастной.
Также нередко проводится эндоскопия и доплеровское ультразвуковое сканирование кровеносных сосудов с целью исследования их состояния, кровоснабжения тканей мозга, выявления локализации ишемии, в которой и активизируется образование кист.
Для уточнения диагноза врач может назначить пациенту ЭКГ и Эхо-КГ, использующиеся для проверки наличия симптомов сердечной недостаточности, присутствия сбоев в работе сердца, приводящих к ухудшению кровоснабжения всех частей мозга и появлению зон ишемии.
Постоянное измерение артериального давления дает специалисту возможность определить серьезность риска развития приступа инсульта, который может быть не только причиной возникновения так называемой «послеинсультной кисты», но и смертельно опасной для человеческой жизни.
Бывает, что пациентам назначаются и другие анализы:
- Проведение анализов крови для точного определения причины заболевания;
- Определение маркеров воспаления;
- Выявление различных аутоиммунных процессов, негативно сказывающихся на общем состоянии организма;
- Исследование степени свертываемости крови;
- Определение концентрации холестерина в крови;
- Наличие инфекций в организме пациента.
Лечение
Если у человека диагностирована киста головного мозга, необходимо подобрать лечение, которое будет максимально эффективным и позволит полностью вылечить данное заболевание, приостановить увеличения размеров кисты, а также предотвратить возникновение каких-либо осложнений.
Способ лечения болезни зависит от локализации образования и его размеров. Если параметры кисты соответствуют установленным нормам и не несут опасности для человеческой жизни, то, как правило, назначается традиционная терапия: гомеопатия с применением индивидуально подобранных препаратов, к которым у пациента нет никаких противопоказаний. Достаточно часто назначаются лекарства, содержащие железо. Такие медикаменты способствуют укреплению кровеносных сосудов и улучшению кровоснабжения.
Если киста постепенно увеличивается в размерах, оказывая повышенное давление на соседние части головного мозга, то не следует ждать, пока она рассосется самостоятельно. Подобный случай, как и заметное ухудшение самочувствия пациента, является показанием к хирургическому вмешательству и проведению операции с помощью лазера. Данная процедура позволяет полностью избавиться от полости, наполненной жидкостью.
Многие люди занимаются лечением народными средствами. Согласно результатам многочисленных исследований, положительно влияют на лечение заболевания средства, приготовленные на основе девясила и лопуха. Они замедляют рост кисты, улучшают кровообращение, нормализуют внутричерепное давление. Кроме того, часто врачи рекомендуют человеку, в головном мозге которого выявлена киста, соблюдать сбалансированное диетическое питание.
Киста головного мозга считается одним из достаточно распространенных заболеваний. Даже с учётом, что это доброкачественное образование, оно может привести к серьезным последствиям. Поэтому за кистой даже маленького объема требуется постоянное наблюдение. Чтобы вылечиться и забыть о данной проблеме, пациенту необходимо строго соблюдать все назначения лечащего врача. Таким образом, можно избежать хирургического вмешательства и обойтись только лекарственными препаратами и средствами народной медицины.
https://youtube.com/watch?v=Q2Ci-jFmO18
Источник
На чтение 11 мин. Просмотров 22.4k. Опубликовано 25.07.2018
Кистой принято называть полое новообразование в органах, для которого характерно наличие капсулы с жидким наполнением внутри. У взрослых людей диагностировать подобные опухоли могут практически в любом органе, но одним из наиболее опасных мест локализации является киста в мозге. Эта опухоль способно не только ухудшить качество жизни человека, но и стать угрозой для нее.
Ниже будет предоставлена полная информация о том, что это такое, каковы причины и последствия возникновения патологии. Подробно изучим симптомы и лечение, в котором нуждается киста головного мозга.
Что это такое – основная характеристика
Кисту в головном мозге у взрослого не нужно относить к онкологии, поскольку она не метастазирует в организме и какое-то время может развиваться бессимптомно. Это опухоль доброкачественного характера, которое относится к ряду неврологических патологий. Визуально оно напоминает мешок с жидкостью внутри. Проблема может быть обнаружена в любом возрасте с локализацией в любом мозговом отделе. Очень часто причиной симптоматической гипертонии становятся именно крупные кистовидные образования в лобной доле.
Кистозное образование может располагаться в любом из полушарий. Локализация кисты во многом сказывается на клинической картине заболевания. Очень часто их находят в паутинной «сетке», покрывающей мозговую кору, поскольку ее нежные ткани наиболее подвержены травмам и развитию воспалений. Кисты врожденного типа начинают проявляться уже после 30 лет, они могут развиваться медленно или, наоборот, стремительно.
Механизм зарождения кистовидных включений в мозгу обычно связывают с травмами, заболеваниями и прочими воздействиями, которые провоцируют образование очагов с мертвыми клетками. Когда никаких патологий не обнаружено, между височной и теменной долями размещена жидкость, но как только возникают аномальные области, эта жидкость начинает занимать место погибших клеток. При определенном объеме скопившейся жидкости образуется кистовидная капсула.
Мелкие образования не опасны для пациента, но чем больше размер капсулы и чем стремительнее она развивается, тем тяжелее симптоматику она провоцирует.
Причины возникновения
Если диагностируется киста в голове, основной целью диагностических манипуляций является определение причины ее возникновения. Только знание первопричины позволит подобрать правильную тактику лечения. Есть несколько факторов, способствующих развитию кистозных включений в голове:
- врожденная патология возникает еще у эмбриона в утробе матери или становится следствием родовой асфиксии, которая характерна для новорожденных;
- нарушения дегенерационного и сложного паталогического характера, при которых мозговые клетки замещаются кистовидной полостью;
- травмы головного мозга;
- нарушение течения крови в мозгу;
- гельминтозная инвазия;
- воспалительные процессы в мозге и менингит.
Классификация
У каждого типа кистовидных включений в голове есть свои характерные особенности и своеобразные симптоматика. Врожденная киста относится к аномалиям эмбрионального развития, которые в большинстве случаев развиваются без симптомов. Кисты первичного типа могут также сформироваться после смерти клеток мозга из-за внутриутробной асфиксии. Вторичное или приобретенное кистовидное образование появляется вследствие воспалений, кровотечений и травм. Они могут появиться как в толще самих мозговых тканей, так и локализоваться между его отделами.
Рассмотрим и другие разновидности кист в голове:
- арахноидальная. Она может локализоваться как на поверхности, так и в слоях оболочки. Кистозная капсула наполнена ликвором. Чаще всего ее диагностируют у представителей сильной половины человечества в разном возрасте, обычно это киста височной доли. Когда значение внутреннего давления в опухоли превышает показатель давления внутри черепной коробки, она начинает давить на мозговую кору. При увеличении подобных новообразований в размере может появиться тошнота вплоть до рвоты, судороги и галлюцинации. Когда внутреннее содержимое начинает увеличиваться в объеме, у пациента может воспалиться мозговая оболочка. Эта патология требует обязательного обращения в медучреждение, так как при апоплексии кисты может наступить смерть;
- церебральная киста. Она формируется не на поверхности, а во внутренних слоях головного мозга из-за смерти клеток мозга. Чтобы остановить омертвение мозга, следует своевременно установить причину отмирания этих клеток. Вызвать развитие такой опухоли могут и новые инфекционные очаги, трепанация черепа, слабое снабжение кровью мозга, а также микроинсульты. Если такое новообразование продолжает расти в диаметре, назначается операция;
- пинеальная. Развивается в эпифизе, диагностируется достаточно редко, но может нарушить обмен веществ, негативно влияет на зрение и координацию. Ее развитие провоцирует эхинококкоз либо закупоривание выводящих путей, из-за чего нарушается отток гормонов эпифиза. Она вызывает водянку мозга и его воспаление. При наличии этого образования человек ощущает боли в голове, неспособность ориентироваться на местности, постоянное желание спать, раздвоение изображения перед глазами и проблемы с ходьбой. Если такая симптоматика не наблюдается, есть вероятность, что киста не будет увеличиваться. Этот тип кистовидного образования находят в 4% случаев во время томографического исследования по совсем другим поводам. На начальных этапах пинеальную кисту лечат медикаментами, в запущенном состоянии – хирургическим методом. Осложнением может стать мозговая водянка;
- кисты сосудистых сплетений. Проявление данного образования происходит на определенной стадии развития эмбриона в утробе матери. В 98% случаев это оказывается псевдокистой головного мозга, которая со временем может исчезнуть самостоятельно. Но если формирование этих кист спровоцировано осложнениями в ходе вынашивания плода или во время родов, а также вследствие инфицирования плода, это может привести к патологиям других органов. Определить наличие таких образований у младенцев можно во время нейросонографии, которая проводится только при не заросшем родничке. Взрослым патологию диагностируют во время УЗ-исследования. Более серьезной патологией у грудничков является субэпендиальная киста, образующаяся на фоне нарушения кровотока в голове или из-за кислородного голодания;
- ретроцеребеллярная. Эта опухоль чаще всего появляется в затылочной части головы или в околомозжечковых пространствах;
- лакунарная. Формируется на варолиевом мосту, в подкорковых узлах, редко в мозжечке или на зрительных буграх, которые разделены белым веществом. Бытует мнение, что они формируются вследствие возрастных изменений или атеросклерозных нарушений в деятельности кровеносной системы;
- порэнцефалическая. Возникает во внутренних слоях серого вещества из-за перенесенных болезней. Может привести к расщеплению мозговой коры, к водянке и другим не менее опасным последствиям;
- коллоидная киста. Относится к врожденным болезням и предположительно передается по наследству. Такая опухоль может заблокировать отход жидкости из головного мозга. При минимальных размерах опухоль себя не проявляет, но в некоторых случаях вызывает головные боли и приступы эпилепсии. Чаще всего признаком этой патологии проявляются с возрастом. Кроме того, из-за нее может развиться энцефалоцеле, мозговая водянка или наступает смерть;
- дермоидная. Формируется еще на первых неделях внутриутробного развития. Внутри кистозной капсулы находятся эмбриональные ткани. Ее не лечат медикаментами, а только удаляют;
- киста промежуточного паруса. Ее еще называют кистой Верге. Провоцирует боли в голове, проблемы со сном, может шуметь в ушах, появляется сдавленность и тяжесть в голове;
- киста клиновидной пазухи. Обнаруживают в сфеноидальной полости, из-за близости к гипофизу и гипоталамусу, а также к глазным нервам может привести к проблемам со зрительными функциями, обонянием и к неврологическим проявлениям.
Методы диагностики
Самым эффективным методом диагностики образований в голове является компьютерная и магнитно-резонансная томографии. С их помощью возможно увидеть четкие очертания опухоли, оценить ее размеры и степень оказываемого влияния на близлежащие ткани. Во время проведения МРТ пациенту вводится специальный контраст, который помогает определить характер образования (доброкачественный или злокачественный). Для прослеживания динамики развития опухоли МРТ проводится несколько раз.
Чтобы определить причину возникновения кист в головном мозгу, назначаются дополнительные обследования:
- доплерометрия. Помогает определить, нет ли сужения сосудов, доставляющих артериальную кровь в голову. Нарушение циркуляции крови является одной из причин возникновения очагов отмирания мозговых клеток, что и провоцирует формирование кист;
- ЭКГ. Проводится для исключения сердечной недостаточности;
- анализ крови на холестерин и сворачиваемость. Именно повышенное уровня холестерина и чрезмерная сворачиваемость могут спровоцировать закупорку сосудов и стать причиной формирования кистовидных капсул в голове;
- измерение показателей артериального давления. Делается это специальным тонометром, значения записываются на протяжении дня и обрабатываются компьютером. Если у пациента периодически фиксируются скачки давления, это может вызвать инсульты и последующее образование послеинсультных кист;
- анализ крови, который помогает установить наличие инфекций и аутоиммунных заболеваний. Его проводят при подозрении на арахноидит, рассеянный склероз или наличие нейроинфекций.
Симптомы и признаки
На ранних стадиях своего развития внутримозговая киста может никак себя не проявлять, а обнаружить ее удается лишь во время профилактического обследования или проверки организма на наличие других патологий. Чем больше новообразование, тем более разнообразной симптоматикой оно сопровождается. Перечислим, какие могут быть проявления и симптомы кисты головного мозга:
- болит голова, при этом обычные обезболивающие оказываются неэффективными;
- часто кружится голова;
- в голове ощущается тяжесть;
- нарушается зрение;
- ухудшается слух, шумит в ушах;
- возникает тошнота вплоть до рвоты;
- ощущается пульсация в черепной коробке;
- появляются галлюцинации;
- человек может терять сознание;
- возникают проблемы со сном;
- судорожные состояния;
- нервные срывы.
Признаки кистовидного образования могут отличаться в зависимости от его размера и локализации, поскольку такие опухоли оказывают влияние на разные участки мозга, которые ответственны за выполнение определенных функций.
Если какая-либо симптоматика кист в голове отсутствует, их наличие никоим образом не будет влиять на качество жизни пациента. Специфического лечения в этом случае не нужно, достаточно периодически проверяться, чтобы своевременно увидеть, когда начнет болезнь прогрессировать.
Последствия
Когда киста мозга начинает стремительно развиваться, далеко не каждый пациент понимает, чем опасна такая ситуация, но как показывает практика, без адекватной терапии это может привести к плачевным результатам.
Если образование находится в левом полушарии, то без лечения снижаются мыслительные и математические способности, затрудняется чтение и письмо, нарушаются функции правой стороны тела. Постишемическая опухоль может нарушать походку и затруднять передвижение, а в очень сложных ситуациях наступает полный паралич.
Без адекватного лечение кистозное образование в мозгу опасно развитием эпилептических припадков, а у больных с кистой в районе ствола может развиваться дизартрия и дисфагия. Если не обращать внимания на кисту промежуточного паруса, дело может закончиться гидроцефалией, синдромом сдавливания структур мозга или кровоизлиянием. Но самым страшным последствием для любого пациента с кистой в мозгу является внезапная смерть.
Как лечить кисту в голове
При обнаружении нединамических образований в голове применяется выжидательная тактика, а динамические требуют традиционного или хирургического лечения. В каком случае и как лечить, может определить исключительно специалист после проведения ряд диагностических исследований.
Если предполагается медикаментозное лечение без операции, то его основной целью является устранение причин возникновения патологии. Это могут быть препараты для рассасывания спаек, для восстановления циркуляции крови, для снижения уровня холестерина, стабилизации артериального давления и нормализации процесса свертывания крови. Дополнительно клеткам головного мозга обеспечивают подачу кислорода и глюкозы через прием ноотропов. Прием антиоксидантов помогает повысить устойчивость клеток к внутричерепному давлению. В случае обнаружения аутоиммунных или инфекционных болезней может быть назначен курс антибиотиков, иммуномодуляторов или противовирусных препаратов.
Если обнаруживают арахноидит, это свидетельствует о слишком сниженном иммунитете, поэтому чтобы вылечить кисту такого типа, нужно в первую очередь позаботиться о восстановлении защитных сил организма. Чтобы разработать максимально эффективный курс лечения, нужно предварительно сдать анализ кров. Медикаменты в среднем принимаются 3 месяца каждые полгода.
Далеко не всегда можно вылечить кистовидное образование консервативными методами. Перечислим основные показания для хирургии:
- частое возникновение припадков;
- гидроцефалия;
- размеры кисты, требующие необходимости вмешательств;
- стремительное увеличение образования;
- внутреннее кровоизлияние;
- апоплексия образования;
- поражение близлежащих к кисте тканей.
Рассмотрим основные способы удаления кисты оперативным путем:
- шунтирование. Метод подразумевает применение дренажной трубки, через которую производится опорожнение внутреннего содержимого кисты. После дренирования стенки кистозной капсулы начинают спадаться и зарастают. Следует помнить, что осложнением этого метода является инфицирование, особенно в тех случаях, когда шунт слишком долго находится в черепе;
- эндоскопия. Этим методом киста удаляется из головы через небольшие проколы. Поскольку это малотравматичный вид операции, осложнения после нее встречаются крайне редко. Такая методика противопоказана пациентам с ослабленным зрением, также способ подходит для удаления лишь некоторых видов кист;
- трепанация черепа. Это очень эффективная, но опасная операция, в ходе которой есть высокий риск повреждения головного мозга.
Это варианты операций для взрослых пациентов, новорожденным проводят аналогичные вмешательства, но лишь при условии стремительного увеличения образований в размерах и при наличии опасности для жизни ребенка. Все вмешательства производятся под наблюдением компьютера. Если после операции нет никаких осложнений, пациента выписывают уже через 4 дня. После выписки ему нужно регулярно приходить к врачу на профилактические осмотры.
Лечение кисты народными средствами не даст желаемого эффекта, поэтому не стоит затягивать время и откладывать визит к специалисту, так как это чревато серьезными осложнениями, начиная от психических расстройств и отставания в развитии, заканчивая потерей слуха, зрения и речи. Своевременное обращение за медицинской помощью существенно повышает шансы пациента на отсутствие рецидивов и развитие осложнений.
Источник



